近日,我院消化内科曹杰主任团队成功为一例直肠侧向发育型肿瘤(LST)的患者完成内镜黏膜下剥离(ESD)术,术后效果良好, 在我院消化内科医护人员的悉心照料下,患者将痊愈出院。
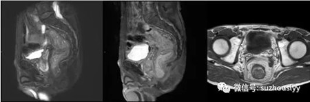
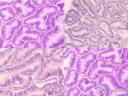
该患者系66岁、男性。因“腹泻1年余,消瘦2月”入院,在当地行肠镜考虑可能是直肠癌,病理结果为(直肠)管状绒毛状腺瘤,来我院消化内科就诊。入院后,胃肠外科、影像科、麻醉科、病理科等多科会诊,经过专家共同讨论后评估该患者可行内镜下治疗,必要时外科干预。术前,充分与患者及家属进行沟通后准备行ESD术,手术全程顺利。术后病理结果示:直肠粘膜绒毛管状腺瘤,腺体伴低级别上皮内瘤变,侧切缘及基底切缘未见病变。目前,患者正在康复中,对诊疗效果极为满意,将于近期出院。

曹杰主任据介绍,ESD(内镜粘膜下剥离术)是近年来发展的一项新的内镜下诊断和治疗手段,可以做到病变整块诊断性切除,如病变进展早甚至可以治愈性切除,让更多的消化道癌前病变、早癌及黏膜下肿物可通过内镜技术能够得到早期明确诊断,甚至在内镜下治愈性切除,有可能免除开腹手术的痛苦。ESD与剖腹手术及以往内镜治疗方法比较,具有体表无创口、创伤小、出血少、术后恢复快、生活质量高等优势。
目前ESD技术发展成熟,已成为切除消化道早期肿瘤的首选手段,成为消化道早癌、消化道黏膜下肿瘤、息肉患者的首选疗法,将为宿州市更多的消化内科疾病患者带来福音。

手术病理
ESD术能一次性完整切除较大的病变组织,提供完整的病理诊断资料,在消化道疾病的治疗中发挥着重要作用。ESD术适用于食管、胃、十二指肠等上消化道及结、直肠的黏膜下良性肿瘤、黏膜的早期癌变以及具有癌变倾向病变的切除治疗。我院消化内镜中心常规开展ESD诊疗技术,致力于为患者解除病痛。有需要的均可通过电话预约或前往我院消化内科门诊就诊。
咨询电话:0557-3043448。
科室简介
宿州市立医院消化内镜中心现有医护人员23人,包括内镜医师13人,麻醉师2人,护理团队8人。其中高级职称12人,中级职称8人。医护人员技术娴熟,精益求精,热情为病患服务。中心拥有国际先进的FUJI LASEREO蓝激光内镜系统、OLYMPUS CV-290内镜系统及超声内镜系统,ERBE高频电刀、氩气刀系统及全套胃肠动力检测设备,C13及C14幽门螺杆菌检测系统,胶囊内镜等设备。本中心广泛开展普通胃肠镜、无痛胃肠镜检查以及多项内镜下治疗项目:如运用内镜进行消化道出血急诊止血治疗,食管良恶性狭窄经内镜球囊扩张术、探条扩张术,食管胃底静脉曲张硬化剂注射治疗、套扎治疗;食管恶性狭窄金属支架治疗,消化道息肉切除术(EMR),异物取出术,消化道早癌及粘膜下病变粘膜剥离术(ESD)及相关技术等,开展逆行胰胆管造影术(ERCP)及相关技术,胶囊内镜检查等。我院为无假日医院,消化内镜中心全年接诊,节假日均开展内镜诊疗工作,方便群众就医。
门诊服务咨询电话:2561778、2560020
急诊服务咨询电话:2560038
入院服务咨询电话∶白班 3045194,13339077992 ,夜班 3323910
医疗工作咨询电话:3032120
医保工作咨询电话:3021729
24小时行风监督与服务热线:96591
南区:安徽省宿州市汴河中路299号
北区:宿州市汴阳三路616号
邮编:234000
网站备案号:皖ICP备14009017号-1 皖公网安备:34130202000221号
扫码关注公众号
扫码关注官方微博
扫码关注人事招聘网
安徽医科大学附属宿州医院 宿州市立医院
All Rights Reserved.